Tổng hợp các phương pháp tầm soát ung thư dạ dày hiện nay

Nội dung bài viết
Ung thư dạ dày là một bệnh lý thường gặp ở tất cả mọi người. Ung thư dạ dày có các triệu chứng dễ nhầm lẫn với các bệnh lý dạ dày khác, đến khi phát hiện đã là giai đoạn cuối. Vậy các chuyên gia khuyến cáo những phương pháp tầm soát ung thư dạ dày nào? Cùng biết và thực hiện sớm để bảo vệ bạn và gia đình nhé!
Tầm soát Ung thư dạ dày là gì?
Tầm soát ung thư dạ dày là quá trình kiểm tra, phát hiện sớm các dấu hiệu bất thường trong dạ dày nhằm phát hiện tế bào tiền ung thư hoặc ung thư ở giai đoạn sớm, khi bệnh chưa có triệu chứng rõ ràng và khả năng điều trị vẫn còn rất cao.
Dạ dày là một túi cơ nằm ở giữa trên của bụng, ngay dưới xương sườn. Dạ dày của bạn tiếp nhận và giữ thức ăn bạn ăn. Sau đó, nó giúp phân hủy và tiêu hóa thức ăn.Khi các tế bào trong niêm mạc dạ dày phát triển bất thường, không kiểm soát, chúng có thể tiến triển thành ung thư dạ dày (ung thư bao tử) — một trong những bệnh lý ung thư đường tiêu hóa phổ biến nhất ở Việt Nam.

Ung thư dạ dày là sự phát triển bất thường của các tế bào bắt đầu trong dạ dày. Ung thư dạ dày có thể ảnh hưởng đến bất kỳ bộ phận nào của dạ dày. Thông thường, người ta thường thấy ung thư dạ dày xuất hiện ở phần thân của nó.1 2 3
Dấu hiệu của ung thư dạ dày
Các triệu chứng ung thư dạ dày đa dạng, nhưng nhìn chung, chúng đều khó phát hiện.
Ung thư dạ dày đầu tiên gây ra các triệu chứng tiêu hóa, chẳng hạn như:1 2 3
- Ợ chua hoặc trào ngược axit.
- Gặp vấn đề khi nuốt (khó nuốt).
- Các triệu chứng khó tiêu, chẳng hạn như ợ hơi nhiều.
- Cảm thấy no rất nhanh sau khi ăn hoặc giảm cân mà không cố gắng.
- Đi cầu ra máu.
Bên cạnh đó, chúng còn gây ra một số triệu chứng khác như:2 3
- Bạn sờ thấy một cục u ở phần bụng trên.
- Cảm giác đau ở phần bụng trên.
- Cảm thấy mệt mỏi hoặc không có năng lượng.
- Giảm cảm giác thèm ăn.
- Cảm giác mệt mỏi do thiếu máu.
- Vàng da hoặc vàng mắt khi ung thư dạ dày di căn tới gan.
Nếu bạn mắc một bệnh lý khác, chẳng hạn như bệnh trào ngược dạ dày – thực quản, bạn có thể gặp các triệu chứng như thế này thường xuyên. Điều đó làm bạn khó phân biệt được với ung thư dạ dày. Tuy nhiên, nếu các triệu chứng thay đổi hoặc nặng nề hơn, bạn nên gặp bác sĩ để được tầm soát ung thư dạ dày ngay nhé!
Các đối tượng nguy cơ mắc ung thư dạ dày
Các tác nhân làm tăng nguy cơ ung thư dạ dày bao gồm:1 3
- Bệnh trào ngược dạ dày thực quản.
- Béo phì.
- Nam giới trên 40 tuổi: Nam giới có tỉ lệ cao gấp đôi so với phụ nữ mắc ung thư dạ dày.
- Chế độ ăn nhiều thức ăn mặn, hun khói, đồ chiên và nướng.
- Chế độ ăn ít trái cây và rau quả,
- Tiền sử gia đình bị ung thư dạ dày, có polyp tuyến có tính chất gia đình (FAP); mắc hội chứng Lynch; hội chứng Peutz-Jeghers; hội chứng Juvenile polyposis.
- Nhiễm Helicobacter pylori.
- Viêm dạ dày lâu dài (viêm dạ dày mãn tính).
- Thuốc lá.
- Polyp dạ dày.

Khi có các yếu tố nguy cơ này, bạn nên thay đổi thói quen sống và ăn uống. Bên cạnh đó, bạn nên tư vấn bác sĩ để được tầm soát ung thư dạ dày sớm nhé!
Các phương pháp tầm soát ung thư dạ dày
Tại Việt Nam, phần lớn bệnh nhân ung thư dạ dày chỉ được phát hiện khi bệnh đã tiến triển nặng. Điều này không chỉ gây khó khăn trong điều trị mà còn làm giảm đáng kể hiệu quả và tiên lượng sống. Trong khi đó, nếu phát hiện ở giai đoạn sớm, khi tổn thương chưa xâm lấn qua lớp dưới niêm mạc, tỷ lệ sống sau 5 năm có thể đạt trên 90%.
Nhờ sự phát triển của công nghệ nội soi và xét nghiệm sinh học phân tử, hiện nay ung thư dạ dày có thể được tầm soát sớm bằng nhiều phương pháp, chia thành hai nhóm chính:3 4
1. Các phương pháp tầm soát không xâm lấn
Nhóm này bao gồm các xét nghiệm không cần can thiệp vào cơ thể, phù hợp cho sàng lọc ban đầu hoặc theo dõi định kỳ ở người có nguy cơ cao:
Xét nghiệm tìm vi khuẩn Helicobacter pylori (H. pylori)
- H. pylori là tác nhân hàng đầu gây viêm loét và ung thư dạ dày, được Tổ chức Y tế Thế giới (WHO) xếp vào nhóm chất sinh ung thư loại I.
- Việc phát hiện sớm và điều trị diệt khuẩn có thể giảm đáng kể nguy cơ ung thư dạ dày.
- Các phương pháp xét nghiệm gồm:
| Loại xét nghiệm | Nguyên lý | Ưu điểm | Hạn chế |
|---|---|---|---|
| Test hơi thở ure C13/C14 | Đo khí CO₂ sau khi uống dung dịch chứa ure đồng vị | Độ chính xác cao (>95%), không xâm lấn | Cần nhịn ăn, chi phí cao hơn các test khác |
| Xét nghiệm phân (HpSA test) | Phát hiện kháng nguyên H. pylori trong phân | Dễ thực hiện, phù hợp tầm soát diện rộng | Cần mẫu phân tươi, độ nhạy giảm nếu đang dùng kháng sinh |
| Xét nghiệm máu | Tìm kháng thể H. pylori | Giá rẻ, nhanh | Không phân biệt được nhiễm hiện tại hay đã khỏi |
Xét nghiệm máu ẩn trong phân (FOBT/FIT)
- Dùng để phát hiện dấu hiệu chảy máu vi thể trong ống tiêu hoá — một trong những cảnh báo sớm của ung thư.
- Người bệnh tự lấy mẫu tại nhà, gửi về phòng xét nghiệm.
- Nếu kết quả dương tính, bác sĩ sẽ chỉ định nội soi dạ dày – đại tràng để xác định nguyên nhân chảy máu.
- Ưu điểm: không cần nhịn ăn hay gây mê, chi phí thấp, có thể tầm soát hàng năm cho nhóm nguy cơ cao.
Xét nghiệm dấu ấn sinh học (Tumor Markers)
Một số chỉ điểm khối u có thể được sử dụng hỗ trợ phát hiện sớm ung thư dạ dày, bao gồm:
- CEA (Carcinoembryonic Antigen)
- CA 72-4
- CA 19-9
Các xét nghiệm này giúp đánh giá nguy cơ hoặc theo dõi đáp ứng điều trị, nhưng không thể dùng để chẩn đoán xác định vì độ đặc hiệu còn thấp. Khi kết quả bất thường, người bệnh cần được chỉ định nội soi hoặc sinh thiết để khẳng định.
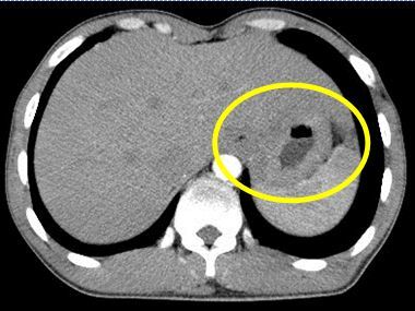
Chụp cắt lớp CT
CT scan giúp đánh giá tốt tình trạng thương tổn của dạ dày, sự xâm lấn của khối u đến các bộ phận xung quanh. Vì vậy, nó cũng được sử dụng trong một số trường hợp tầm soát ung thư dạ dày.

Khi nào nên chọn phương pháp không xâm lấn?
- Người chưa từng có triệu chứng rõ ràng (đầy hơi, đau thượng vị, sụt cân).
- Người có nguy cơ trung bình, chưa cần nội soi ngay.
- Trường hợp theo dõi sau điều trị H. pylori hoặc muốn kiểm tra định kỳ hàng năm.
Các phương pháp tầm soát xâm lấn
Những phương pháp tầm soát xâm lấn cho phép bác sĩ quan sát trực tiếp niêm mạc dạ dày và lấy mẫu mô khi nghi ngờ tổn thương. Đây là tiêu chuẩn vàng trong việc chẩn đoán xác định ung thư dạ dày giai đoạn sớm.
Nội soi tiêu hóa trên
Nội soi tiêu hóa trên (nội soi dạ dày – thực quản – tá tràng) là kỹ thuật trong đó bác sĩ sử dụng ống soi mềm có gắn camera để quan sát trực tiếp toàn bộ niêm mạc bên trong dạ dày.
- Quy trình thực hiện: Ống nội soi được đưa nhẹ qua miệng xuống dạ dày, hình ảnh được truyền lên màn hình giúp bác sĩ phát hiện các tổn thương như viêm loét, polyp, teo niêm mạc, hoặc vùng tăng sinh bất thường.
- Lợi ích:
- Phát hiện tổn thương tiền ung thư và ung thư giai đoạn sớm mà các xét nghiệm khác không thể nhận ra.
- Xác định tình trạng nhiễm vi khuẩn Helicobacter pylori (H. pylori) – yếu tố nguy cơ hàng đầu gây ung thư dạ dày.
- Giúp đánh giá xem ung thư có di căn sang cơ quan khác (gan, hạch, phúc mạc…) hay không.
- Ưu điểm:
- Độ chính xác cao, có thể kết hợp sinh thiết ngay trong một lần soi.
- Thủ thuật nhanh (5–10 phút), có thể gây tê hoặc gây mê nhẹ để giảm khó chịu.
- Hạn chế:
- Cần nhịn ăn trước 6–8 giờ.
- Một số ít trường hợp có thể gây buồn nôn, đau họng sau nội soi.
Sinh thiết niêm mạc dạ dày
Khi nội soi phát hiện vùng nghi ngờ (loét lâu lành, niêm mạc gồ ghề, tăng sinh bất thường…), bác sĩ sẽ chỉ định sinh thiết để xác định bản chất của tổn thương.
- Cách thực hiện: Bác sĩ dùng kẹp sinh thiết chuyên dụng gắn trên ống soi để lấy một hoặc nhiều mẫu mô nhỏ tại vị trí nghi ngờ. Mẫu được gửi đến phòng xét nghiệm giải phẫu bệnh để quan sát tế bào dưới kính hiển vi.
- Mục đích:
- Khẳng định chẩn đoán ung thư dạ dày.
- Đánh giá mức độ viêm, teo niêm mạc, dị sản ruột hoặc sự hiện diện của H. pylori.
- Xác định mức độ xâm lấn để đưa ra phác đồ điều trị phù hợp.
- Ưu điểm:
- Giúp chẩn đoán xác định ung thư – điều mà các phương pháp không xâm lấn không thể thay thế.
- Có thể thực hiện ngay trong cùng buổi nội soi.
- Hạn chế:
- Cần thực hiện bởi bác sĩ chuyên khoa tiêu hóa.
- Có thể chảy máu nhẹ tại vị trí lấy mẫu (thường tự cầm).
Nội soi phóng đại, nội soi NBI và nội soi nhuộm màu
Những kỹ thuật nội soi tiên tiến này giúp tăng độ chính xác trong phát hiện ung thư sớm:
- Nội soi NBI (Narrow Band Imaging): Sử dụng ánh sáng dải hẹp để làm nổi bật các mạch máu và cấu trúc bề mặt niêm mạc, giúp phát hiện tổn thương nhỏ hoặc phẳng.
- Nội soi phóng đại: Cho phép phóng đại hình ảnh gấp 100 lần, giúp bác sĩ quan sát rõ mô hình tuyến – đặc điểm quan trọng trong phân loại tổn thương tiền ung thư.
- Nội soi nhuộm màu (chromoendoscopy): Dùng dung dịch nhuộm như indigo carmine hoặc Lugol để làm nổi rõ ranh giới bất thường, định vị vùng sinh thiết chính xác hơn.
Nội soi viên nang (Capsule Endoscopy)
Bệnh nhân nuốt một viên nang nhỏ chứa camera, viên này di chuyển dọc ống tiêu hóa và ghi lại hàng nghìn hình ảnh.
- Ưu điểm: Không cần gây mê, không gây khó chịu.
- Hạn chế: Không thể lấy mẫu mô hoặc điều trị. Thường dùng khi người bệnh không thể nội soi truyền thống, hoặc để khảo sát thêm ruột non.
Nội soi siêu âm (EUS – Endoscopic Ultrasound)
Là kỹ thuật kết hợp giữa nội soi và siêu âm, giúp đánh giá độ sâu xâm lấn của khối u qua các lớp thành dạ dày và tình trạng hạch lân cận. Đây là bước quan trọng trong giai đoạn đánh giá trước điều trị.
Cắt niêm mạc và dưới niêm mạc qua nội soi (EMR/ESD)
Nếu tổn thương được phát hiện sớm (chưa xâm lấn sâu), bác sĩ có thể chỉ định 2 kĩ thuật dưới đây. Kỹ thuật này giúp người bệnh không phải phẫu thuật mở, thời gian hồi phục nhanh và chất lượng sống sau điều trị được cải thiện rõ rệt.
- EMR (Endoscopic Mucosal Resection): Cắt trọn tổn thương nông trong lớp niêm mạc.
- ESD (Endoscopic Submucosal Dissection): Cắt sâu hơn, tách lớp dưới niêm, giúp loại bỏ toàn bộ khối ung thư sớm mà vẫn bảo tồn dạ dày.
Bài viết này đã cung cấp cho bạn hiểu thêm về bệnh lý ung thư dạ dày. Cần thực hiện các phương pháp tầm soát ung thư dạ dày sớm khi có các yếu tố nguy cơ hoặc triệu chứng của bệnh lý này. Chúc các bạn sống vui, sống khỏe, sống có ích và thường xuyên cập nhật những thông tin sức khỏe hữu ích tại YouMed nhé!
Nguồn tham khảo / Source
Trang tin y tế YouMed chỉ sử dụng các nguồn tham khảo có độ uy tín cao, các tổ chức y dược, học thuật chính thống, tài liệu từ các cơ quan chính phủ để hỗ trợ các thông tin trong bài viết của chúng tôi. Tìm hiểu về Quy trình biên tập để hiểu rõ hơn cách chúng tôi đảm bảo nội dung luôn chính xác, minh bạch và tin cậy.
- Stomach cancerhttps://www.mayoclinic.org/diseases-conditions/stomach-cancer/symptoms-causes/syc-20352438
- Symptoms - Stomach cancerhttps://www.nhs.uk/conditions/stomach-cancer/
- Stomach Cancer Early Detection, Diagnosis, and Staginghttps://www.cancer.org/content/dam/CRC/PDF/Public/8840.00.pdf
- Ung thư dạ dày được tầm soát như thế nào?https://benhvienk.vn/ung-thu-da-day-duoc-tam-soat-nhu-the-nao-nd85420.html